welcome to
Admorai
The beauty of pathology today
lies in the inderdisciplinary collaborations
which drives innovative solutions for patients
and is a critical pillar of personalized healthcare.
tissue is the issue
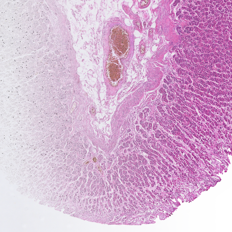
Virtual Staining
Increase efficiency and certainty in your histological workflow –
for greater patient benefit in research, pharmacology and clinical pathology.
HUMAN INNOVATION
Accelerated by Artificial Intelligence
Our research-oriented approach constantly drives us to take on new challenges. Our services include research, support for pilot projects to solve complex tasks in the medical and pharmaceutical fields, and the design of custom AI tailored to your needs.
Virtual
Staining
our
KeyBenefits
time-saving
Brightfield based
ecomonically friendly
chemical free
seamless integration
non-destructive
what we offer
Built to handle the diagnosis within complex clinical scenarios. Our AI systems serve as user-side assistants. Seamlessly integrated into daily routines. In our vision, an AI-assisted workflow boosts efficiency and opens new avenues for quality control.
TissueFinder
We enable faster, more efficient tissue analysis, without altering samples or using chemical reagents, making multiplexing possible and increasing the information content per slide.
Virtual Staining
With Virtual Staining, we enable faster and more efficient tissue analysis without altering the samples or using chemical reagents.
LNMFinder
LNMFinder assists pathologists in identifying lymph node metastases in colorectal cancer for prioritizing suspicious nodes, reducing review time, and improving sensitivity and consistency in routine reporting.
About Us
We are a pathology-focused AI startup that turns histology data into faster and more consistent decisions across clinical diagnostics, pharma R&D, life science, veterinary medicine and food safety.
Our interdisciplinary team (pathology × informatics) builds tools ready for routine workflows that reduce review time, standardize quality control and increase diagnostic confidence, improving accuracy and elevating patient care. Founded by Prof. Dr. Wilkens, who brings years of hands-on clinical practice, and Ali Eissing Almukahal, a pathologist with a master’s degree in robotics, we combine medical precision with state-of-the-art technology. Clinically grounded and research driven, our solutions integrate seamlessly into existing lab systems and scale from pilot projects to routine use, delivering measurable efficiency gains and a clear, defensible path to adoption and return on investment.
Advanced Morphology Analytics GmbH
We are transforming pathology diagnostics. Integrating AI into pathology unlocks significant potential by assisting pathologists, optimizing diagnoses, and improving consistency and turnaround times, creating measurable efficiencies for pharma, life science and veterinary histology and ultimately improving patient care.
The beauty of pathology today lies in interdisciplinary collaboration, which drives innovative solutions for patients and is a critical pillar of personalized healthcare.
Tissue is the issue - Virtual Staining
Increase efficiency and certainty in your histological workflow –
for greater patient benefit in research, pharmacology and clinical pathology.
Human Innovation,
Accelerated by Artificial Intelligence
Our research-oriented approach constantly drives us to take on new challenges. Our services include research, support for pilot projects to solve complex tasks in the medical and pharmaceutical fields, and the design of custom AI tailored to your needs.
how it works
what we offer
Built to handle the diagnosis within complex clinical scenarios. Our AI systems serve as user-side assistants. Seamlessly integrated into daily routines. In our vision, an AI-assisted workflow boosts efficiency and opens new avenues for quality control.
Virtual Staining
Virtual Staining
We enable faster, more efficient tissue analysis, without altering samples or using chemical reagents, making multiplexing possible and increasing the information content per slide.
TissueFinder
TissueFinder identifies and separates relevant from irrelevant image content and eliminates the latter, to cut review time by boosting processes across research, pharma, veterinary, and food histology.
LNM Finder
LNMFinder assists pathologists in identifying lymph node metastases in colorectal cancer for prioritizing suspicious nodes, reducing review time, and improving sensitivity and consistency in routine reporting.
our
KeyBenefits
time-saving
Brightfield based
ecomonically friendly
chemical free
non-destructive
seamless integration
About Us
We are a pathology-focused AI startup that turns histology data into faster and more consistent decisions across clinical diagnostics, pharma R&D, life science, veterinary medicine and food safety. Our interdisciplinary team (pathology × informatics) builds tools ready for routine workflows that reduce review time, standardize quality control and increase diagnostic confidence, improving accuracy and elevating patient care.
Founded by Prof. Dr. Wilkens, who brings years of hands-on clinical practice, and Ali Eissing Almukahal, a pathologist with a master’s degree in robotics, we combine medical precision with state-of-the-art technology. Clinically grounded and research driven, our solutions integrate seamlessly into existing lab systems and scale from pilot projects to routine use, delivering measurable efficiency gains and a clear, defensible path to adoption and return on investment.
Advances in artificial intelligence (AI) are transforming pathology diagnostics. Integrating AI into pathology unlocks significant potential by assisting pathologists, optimizing diagnoses, and improving consistency and turnaround times, creating measurable efficiencies for pharma, life science and veterinary histology and ultimately improving patient care.
