welcome to
Admorai
The beauty of pathology of today is in the interdisciplinary collaborations, which will lead to innovative solutions for patients and is a critical pillar of personalized health.
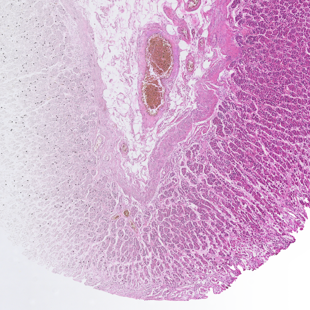
Tissue is the issue - Virtual Staining
Increase efficiency and certainty in your histological workflow –
for greater patient benefit in research, pharmacology and clinical pathology.
Tissue is the issue - Virtual Staining

Increase efficiency and certainty in your histological workflow –
for greater patient benefit in research, pharmacology and clinical pathology.
Human Innovation,
Accelerated by Artificial Intelligence
Our research-oriented approach constantly drives us to take on new challenges. Our services include research and support for pilot projects to solve complex tasks in the medical and pharmaceutical fields.
Human Innovation,
Accelerated by Artificial Intelligence
Our research-oriented approach constantly drives us to take on new challenges. Our services include research and support for pilot projects to solve complex tasks in the medical and pharmaceutical fields.
The beauty of pathology of today is in the interdisciplinary collaborations, which will lead to innovative solutions for patients and is a critical pillar of personalized health.
what we offer
Our AI systems take on the diagnosis of complicated clinical scenarios. They act as assistants to their respective users and are characterized by their seamless integration into daily work routines. Our vision of an AI assissted workflow results in higher efficiency and provides new means of quality control.
Virtual Staining
With Virtual Staining, we enable faster and more efficient tissue analysis without altering the samples or using chemical reagents.

Tissue Finder
TissueFinder identifies and separates relevant from irrelevant image content and eliminates the latter.

LNM Finder
The LNMFinder assists pathologists in identifying lymph node metastases in colorectal cancer cases.
what we offer
Our AI systems take on the diagnosis of complicated clinical scenarios. They act as assistants to their respective users and are characterized by their seamless integration into daily work routines. Our vision of an AI assissted workflow results in higher efficiency and provides new means of quality control.

Tissue Finder
TissueFinder identifies and separates relevant from irrelevant image content and eliminates the latter.
Virtual Staining
With Virtual Staining, we enable faster and more efficient tissue analysis without altering the samples or using chemical reagents.

LNM Finder
The LNMFinder assists pathologists in identifying lymph node metastases in colorectal cancer cases.
About Us
We are a dynamic startup specializing in modern pathology. Our interdisciplinary team combines expertise in pathology and informatics to drive innovation in healthcare. With a strong clinical focus and research-driven approach, we develop AI solutions that support pathologists in their daily practice, improving diagnostic accuracy and elevating patient care.

About Us
We are a dynamic startup specializing in modern pathology. Our interdisciplinary team combines expertise in pathology and informatics to drive innovation in healthcare. With a strong clinical focus and research-driven approach, we develop AI solutions that support pathologists in their daily practice, improving diagnostic accuracy and elevating patient care.

Advanced Morphology
Analytics GmbH
Advances in artificial intelligence (AI) are transforming pathology diagnostics.
Integrating AI into pathology offers significant potential
– from assisting pathologists to optimizing diagnoses –
ulitmately enhancing patient care.